1. INTRODUCTION
COVID-19 caused by SARS-CoV-2 is a debilitating disease that caused havoc across the world since the emergence of the virus in Wuhan, China, in December 2019. According to the WHO statistics, worldwide, more than 641 million cases and 6.6 million deaths have been reported due to COVID-19 till December 6, 2022 [1]. India accounts for around 44 million cases and 0.53 million deaths reported between January 3, 2020, and December 6, 2022 [2]. In most cases, the SARS-CoV-2 virus infects the lower respiratory tract resulting in alveolar damage [3]. The SARS-CoV-2 virus has a genome size of around 30 kb and encodes 14 open reading frames, which further encodes 27 proteins [4]. The virus encodes four major structural proteins: the surface spike protein, nucleocapsid protein, envelope protein, and membrane protein. The spike protein present on the surface of virus particles forms interactions with the ACE-2 receptors present on the host cells and mediates the infection [5]. The nucleocapsid protein forms complexes with the RNA genome during the virus assembly and packs the genome into helical structures [6].
Due to the highly infectious nature of the virus, it is imperative to have suitable diagnostic assays that can control the spread of infection. The detection of viral RNA using techniques like reverse transcription-polymerase chain reaction is highly sensitive, but it is also expensive, laborious, and requires technical expertise [7]. On the other hand, protein-based assays involving the use of lateral flow devices can be very useful for rapid sample screening.
Both spike and nucleocapsid proteins are major immunogenic proteins in humans [8]. The nucleocapsid protein is one of the predominant proteins expressed throughout the infection cycles of the SARS-CoV-2 [9]. While the spike protein is a major target for the development of neutralizing therapeutic antibodies [10], due to its high-level expression and immunogenicity, the nucleocapsid protein has been recognized as a more sensitive target for the development of COVID-19 diagnostics [11]. Several diagnostic platforms involve either the detection of nucleocapsid protein (antigen detection tests) or the detection of anti-nucleocapsid antibodies (antibody detection tests) in the patient samples. Studies have shown that SARS-CoV nucleocapsid protein is found in different samples including nasal, urinary, and even fecal samples [9]. Consequently, it has been used as a diagnostic target for the development of monoclonal antibodies that can be employed for the detection of nucleocapsid protein [12-15]. Similarly, it has also been successfully used as bait for the detection of anti-nucleocapsid proteins in patient samples with reasonable sensitivity and specificity [11,16,17]. The purified nucleocapsid protein can also be used to study the protein structure and function or to map B- and T-cell epitopes for designing vaccines and therapeutics [18-20].
The aim of this study was to clone, express, and purify full-length SARS-CoV-2 nucleocapsid protein from Escherichia coli host. Further, the purified protein was characterized using indirect ELISA and immunochromatography-based COVID-19 rapid antigen test kit to assess its potential utility for the development of antigen or antibody detection-based diagnostic tests.
2. MATERIALS AND METHODS
Oligonucleotides were obtained from Eurofins Genomics (Bengaluru, India). TOP10 cells, BL21 (DE3) cells, Phusion High-Fidelity PCR Kit, 1 kb plus DNA ladder (10787018), Unstained Protein molecular weight Marker (26610), and Goat anti-Mouse IgG (H+L)-HRP (62-6520) were obtained from Thermo Fisher Scientific, USA. Deoxynucleotides, restriction enzymes, and T4 DNA ligase were obtained from New England Biolabs, USA. HIS-Select Nickel Affinity Gel, His-tag monoclonal antibody (70796-4), and Ready-to-use 3,3′,5,5′-Tetramethylbenzidine (TMB) solution for ELISA were obtained from Sigma-Aldrich, Bengaluru, India. PCR product purification, gel extraction, and Mini-Prep DNA preparation kits were obtained from QIAGEN, Germany. ELISA plates, bovine serum albumin, and other standard chemicals were obtained from HiMedia Laboratories, India. Gene encoding SARS-CoV-2 nucleocapsid protein (Wuhan Strain) was obtained from Dr. Milan Surjit, Translational Health Science and Technology Institute, Faridabad, India. Anti-M13-HRP was obtained from Dr. Rajesh Kumar, Institute of Advanced Virology, Kerala, India. Expression vector pET-28c(+) was obtained from Novagen (Merck). Standard Q COVID-19 Ag detection kit was from SD Biosensor Health Care Pvt. Ltd., India. M13 phage displaying anti-nucleocapsid antibody was available in-house. The anti-nucleocapsid scFv sequence corresponds to Clone 17 reported in Terry et al. [14] and was obtained as a synthetic gene from GeneArt, Thermo Fisher Scientific.
2.1. Cloning of SARS-CoV-2 Nucleocapsid Gene
The SARS-CoV-2 nucleocapsid gene was cloned in a standard T7 promoter-based pET-28c(+) vector. For this, the gene encoding SARS-CoV-2 nucleocapsid protein (2-419 amino acids; Wuhan strain) was amplified using forward primer NucI-Wu-Nhe-51 (5’-GCCATATGGCTAG CGATAATGGACCCCAAAATCAGCGA-3’) and NucI-Wu-Bam-31 (5’-GTAACTGGGGATCCTATTAGGCCTGA GTTGAGTCAGCACTGC-3’) using Phusion High-Fidelity PCR Kit as per the manufacturer’s instructions. The reverse primer encoded stop codon in frame with the gene. For PCR, 5 ng template DNA (cloned gene encoding SARS-CoV-2 nucleocapsid protein) was mixed with 200 μM dNTPs, 25 pmoles of forward and reverse primers, and 2 U of Phusion polymerase in 1 × Phusion buffer in a total reaction volume of 50 μL. The reaction was incubated at 95°C for 3 min followed by thermocycling at 95°C for 30 s, 55°C for 30 s, and 72°C for 20 s for 30 cycles. The final extension was performed at 72°C for 1 min. The PCR product was analyzed using 1.2% agarose gel electrophoresis (in TAE buffer) and purified using a QIAquick PCR purification kit followed by digestion with restriction enzymes NheI and BamHI at 37°C for 3 h as per the manufacturer’s instructions. The digested products were purified using QIAquick PCR purification kit. The purified digested product was resolved using 1.2% agarose gel and desired DNA band was excised followed by DNA purification using QIAquick gel extraction kit. The purified insert was ligated to NheI-BamHI digested pET-28c(+) vector DNA using T4 DNA ligase as per the manufacturer’s instructions. The ligated DNA was electroporated in TOP10 cells and transformants were selected on LB agar plates containing 30 μg/ml kanamycin and 1 % glucose (LBKan30Glu1%). Plasmid DNA was prepared from two clones using Mini-Prep DNA kit and the recombinants (pET-28c-nucleocapsid) were verified by restriction enzyme digestion. The plasmid DNA of recombinants was electroporated in BL21 (DE3) cells. The transformants were selected on LBKan30Glu1% plates and subjected to expression analysis.
2.2. Expression of SARS-CoV-2 Nucleocapsid Protein by Autoinduction in E. coli BL21 (DE3)
Two clones carrying pET-28c-nucleocapsid were grown in 3 ml LBKan30Glu1% at 37°C for 3 h at 220 rpm and cells were pelleted by centrifugation at 5000 rpm, RT, 5 min. The cell pellet was resuspended in 5 mL lactose-containing autoinduction media described by Studier [21] (containing all components except trace elements). The culture was grown at 220 rpm for 2 h at 30°C, 4 h at 24°C, and 16 h at 18°C. The induced culture was analyzed using 12.5% SDS-PAGE under reducing conditions to check for protein expression. One clone was selected for preparative scale expression in 200 ml autoinduction media using the same protocol as described above.
2.3. Localization of SARS-CoV-2 Nucleocapsid Protein
Cell pellet of 200 mL induced culture was resuspended in 50 mL Tris Loading Buffer (TLB). (50 mM Tris-HCl, pH 7.5, 500 mM NaCl) containing 100 μg/mL lysozyme and 50 μM PMSF. The 4 × concentrated cell suspension was kept on ice for 30 min and sonicated for 30 min (pulse at 1 s on/1 s off at 30% amplitude) on ice using Sonics Vibra-Cell 505 ultrasonic processor. The lysate was centrifuged at 10,000× g for 1 h at 4°C. For SDS-PAGE analysis, 25 μl sonicated sample or high-speed supernatant was mixed with 175 μL 1 × reducing dye, heated at 95°C for 5 min, and 10 μL samples (equal to 5 μL of induced culture) were analyzed using 12.5% SDS-PAGE.
2.4. Purification of SARS-CoV-2 Nucleocapsid Protein
Protein purification was performed at room temperature (RT, ~ 25°C). His-Select Nickel Affinity Gel (100 μL) was equilibrated in 1 × TLB containing 20 mM imidazole in a 1.5 mL tube. The equilibrated gel was mixed with 1 mL of high-speed supernatant containing 6X-His-Nucleocapsid for 5 min. The beads were washed thrice using 1 mL TLB containing 20 mM imidazole and bound protein was eluted in 200 μl TLB containing 300 mM imidazole. For SDS-PAGE analysis, 25 μL of eluted protein was mixed with 25 μL of 2 × reducing dye, heated at 95°C for 5 min, and 10 μL sample (equal to 5 μL of purified protein) were analyzed using 12.5% SDS-PAGE. Concentration of purified protein was estimated using Bradford protein assay. Aliquots were stored at −20°C.
2.5. Characterization of Purified SARS-CoV-2 Nucleocapsid Protein Using a Rapid Antigen Test Kit
Purified 6X-His-Nucleocapsid protein was diluted in 1 × PBS to a final concentration of 2 μg/mL and 50 μL (~100 ng) was added to the buffer-containing tube of Standard Q COVID-19 Ag detection kit. Two drops of protein-containing sample were loaded in the sample loading area of the lateral flow test device along with two drops of 1 × PBS in the second device as a negative control. The devices were incubated at RT. Results were recorded after 20 min.
2.6. Characterization of Purified SARS-CoV-2 Nucleocapsid Protein Using Indirect ELISA
A 96-well ELISA plate was coated with 75 μL of 2 μg/mL purified 6X-His-Nucleocapsid protein in 1 x PBS at 4°C, overnight. The plate was washed thrice with 1 × PBS containing 0.05 % Tween 20 (PBST) and wells were blocked with 2% BSA-PBST for 1 h at RT. The plate was washed thrice with PBST and 75 μL of 7-point 3-fold dilutions of anti-His tag antibody (1 μg/mL–1.37 ng/mL) or PEG purified M13 phage displaying anti-nucleocapsid scFv (1:10–1:7290) prepared in 2% BSA-PBST were added to the antigen-coated wells for 1 h at RT. The plate was again washed thrice with PBST and 75 μL of 1:5000-fold diluted Goat anti-Mouse IgG (H+L)-HRP was added to each well probed with anti-His tag antibody, and 1:2000-fold diluted anti-M13-HRP was added to each well probed with scFv displaying M13 phages for 1 h at RT. Finally, the plates were washed thrice each with PBST followed by 1 × PBS, and 75 μL TMB was added to each well. The plate was incubated for 15 min at RT in dark followed by the addition of 75 μL 1N H2SO4. Absorbance was measured at 450 nm using Multiskan GO plate reader (Thermo Fisher Scientific, USA). The values reported are the average of three independent experiments.
3. RESULTS
3.1. Cloning, Expression, and Purification of SARS-CoV-2 Nucleocapsid Protein
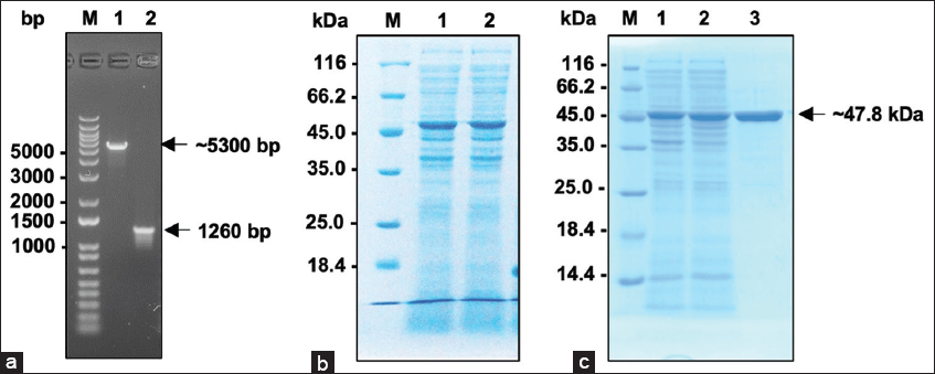
The aim of this work was to express full-length SARS-CoV-2 nucleocapsid protein in E. coli BL21 (DE3) in soluble form followed by its purification and characterization [Figure 1]. For this, the gene encoding full-length SARS-CoV-2 nucleocapsid protein (1254 bp; amino acid 2-419; Wuhan strain) was cloned in-frame with the N-terminal hexahistidine tag in standard T7 promoter containing pET-28c vector [Figure 2a]. Two recombinant clones were tested for autoinduction-based expression of 6X-His-Nucleocapsid, and both showed a band of recombinant protein at ~ 47.8 kDa [Figure 2b, Lanes 1 and 2]. Further, the recombinant protein was found to be localized in the soluble fraction [Figure 2c, Lane 2]. The 6X-His-Nucleocapsid protein was subjected to purification using one-step Ni-resin-based affinity chromatography. The protein was found to be >90% pure [Figure 2c, Lane 3] and concentration was estimated to be approximately 0.65 mg/mL. Further, based on the intensity of the purified protein band (corresponding to ~ 3 μg protein), the amount of recombinant protein in the soluble fraction was estimated to be 1.5–2 μg (corresponding to 5 μL of induced culture), indicating that the soluble protein expression level was approximately 300–400 mg/L of the induced culture. The purified protein was subjected to further characterization.
![]() | Figure 1: Workflow for the production of recombinant SARS-CoV-2 nucleocapsid protein. [Click here to view] |
![]() | Figure 2: Cloning, expression, and purification of 6X-His-Nucleocapsid protein. (a) Gene encoding 2-419 amino acids of SARS-CoV-2 nucleocapsid protein (Wuhan isolate) were cloned in a pET-28c(+) vector using NheI and BamHI restriction enzymes. The digested PCR product and vector were analyzed using 1.2% agarose gel. Lane M – 1 kb plus DNA ladder (Thermo Fisher Scientific; Cat no. 10787018); Lane 1 – NheI-BamHI-digested pET-28c(+) vector; Lane 2 – NheI-BamHI-digested PCR product encoding nucleocapsid gene. (b) SDS-PAGE analysis of autoinduction-based protein expression in pET-28c-Nucleocapsid recombinants. Lane M – Protein ladder; Lane 1 – Clone 1, Lane 2 – Clone 2. (c) SDS-PAGE analysis of 6X-His-Nucleocapsid protein at different steps of localization and purification. Lane M – Protein ladder; Lane 1 – Sample after sonication, Lane 2 – high-speed soluble supernatant, Lane 3 – Eluate obtained after affinity chromatography. [Click here to view] |
3.2. Characterization of Purified SARS-CoV-2 Nucleocapsid Protein Using COVID-19 Rapid Antigen Test
The purified 6X-His-Nucleocapsid protein was tested using an immunochromatography-based COVID-19 rapid antigen test kit. The test kit employs anti-nucleocapsid antibodies for the detection of nucleocapsid protein in nasopharyngeal swabs of patients infected with SARS-CoV-2. The addition of purified 6X-His-Nucleocapsid on the lateral flow device resulted in the development of an intense band at the test line, whereas no test line was observed on the addition of buffer [Figure 3a, Devices 1 and 2]. The validity of the test was confirmed by the development of a control line in both test and control devices [Figure 3a]. The results indicated that the purified 6X-His-Nucleocapsid protein can be detected by the commercial anti-nucleocapsid antibodies used in rapid antigen test kits in the same way as the nucleocapsid protein present in SARS-CoV-2.
![]() | Figure 3: Characterization of purified 6X-His-Nucleocapsid protein. (a) The purified protein was loaded on lateral flow device in the Standard Q COVID-19 Ag detection kit. Device 1 – 1 × PBS was used as negative control; Device 2 – Purified 6X-His-Nucleocapsid protein. (b) Indirect ELISA-based analysis using anti-His tag monoclonal antibody as probe. (c) Indirect ELISA-based analysis using anti-nucleocapsid (N) scFv displaying M13 phages as probe. [Click here to view] |
3.3. Characterization of Purified 6X-His-Nucleocapsid Protein Using Indirect ELISA
To further assess the suitability of the purified 6X-His-Nucleocapsid protein as a bait or coat protein in immunoassays, the protein was tested using indirect ELISA with two probes, namely, anti-his tag monoclonal antibody (Probe 1) and M13 phage particle displaying anti-nucleocapsid scFv (Probe 2). Both the probes showed high reactivity against the purified 6X-His-Nucleocapsid protein [Figure 3b and c]. The results indicated that the soluble 6X-His-Nucleocapsid protein can be specifically recognized by antibodies and thus can be used as a capture molecule in ELISA-based experiments.
4. DISCUSSION
The aim of this work was soluble expression and purification of recombinant SARS-CoV-2 nucleocapsid protein using E. coli as the heterologous host and its characterization using immunoassays such as ELISA and immunochromatography. SARS-CoV-2 nucleocapsid protein is a 419 amino acid long RNA-binding protein that envelopes the genome of the SARS-CoV-2 virus and is important for the viral replication and genome packaging [6]. This protein is expressed at reasonably high levels during the infection and is highly immunogenic in the infected subjects. These properties make it a suitable target for the development of antigen and antibody-detection-based diagnostic platforms.
In our study, the 6X-His-Nucleocapsid protein was expressed at high level using lactose-based autoinduction at 18°C. E. coli BL21 (DE3) was chosen as the host for protein expression due to its ease of handling as compared to other expression systems. The method reported here has yielded soluble protein, which was easily purified using a single step of affinity chromatography to get >90% pure protein. The efficient lactose-based autoinduction method reported in this study is an easy-to-adapt method that does not require continuous monitoring of the culture density for the addition of inducers such as IPTG. Other groups have reported the production of recombinant SARS-CoV-2 nucleocapsid protein in different hosts such as E. coli, insects, and mammalian cells [17,22-27]. Li et al. reported the purification of nucleocapsid protein from E. coli after refolding of inclusion bodies with a yield of approximately 50 mg/liter fermentation broth [22]. They employed both IPTG and autoinduction-based expression but could not obtain protein expression using autoinduction. Djukic et al. purified a fragment of nucleocapsid protein (58–419 aa) from E. coli after induction with IPTG [17]. De Vos et al. reported the purification of nucleocapsid protein with a CASPON tag from E. coli with IPTG induction and reported a yield of 730 mg/L of culture [23]. Tarczewska et al. reported the production of nucleocapsid protein from E. coli using autoinduction at 20°C using SUMO tag for improving solubility, which was removed using on-column cleavage during purification [24]. Supekar et al. reported the production of nucleocapsid protein using the HEK293-based mammalian expression system [25]. Similarly, García-Cordero et al. also reported the production of protein in the Expi293F-based mammalian expression system [26].
The recombinant protein produced in this study was tested using an immunochromatography-based COVID-19 rapid antigen test kit and it could be detected by the commercial anti-nucleocapsid antibodies like the naturally expressed protein present in the virus. Further, the protein was also tested using indirect ELISA to assess its suitability as bait in ELISA using either an anti-his tag monoclonal antibody or an M13 phage particle displaying anti-nucleocapsid scFv. Both the probes showed high reactivity against the purified 6X-His-Nucleocapsid protein indicating that the purified anti-nucleocapsid protein can be specifically recognized by the antibodies and thus can be used as bait in ELISA-based experiments.
The purified nucleocapsid protein reported in this study can be used for several applications. It can be used as an immunogen in animals such as mice or rabbits to generate monoclonal or polyclonal antibodies for the development of antigen detection-based immunochemical tests in different formats such as lateral flow assays or fluorescent immunosensors [12–15,28]. The purified nucleocapsid protein can also be used as a bait or capture molecule for the development of antibody detection-based serodiagnostic tests [11,16,17]. It can also be used to study the structure of the protein to get insights into the protein’s function or mapping B- and T-cell epitopes for designing vaccines and therapeutics [18–20].
Overall, this work explains a method for high-level soluble expression of full-length SARS-CoV-2 nucleocapsid protein, which can be very useful for multiple applications such as studying protein structure and function, development of antigen or antibody-based diagnostic platforms, and epitope mapping for designing vaccines or therapeutics.
5. CONCLUSION AND FUTURE PROSPECTIVE
SARS-CoV-2 nucleocapsid protein is an important viral protein that encapsulates the viral RNA genome. This protein is an attractive diagnostic marker for COVID-19. The purified recombinant SARS-CoV-2 nucleocapsid protein reported here can be used for multiple applications including the development of antigen detection-based immunochemical tests, antibody detection-based serodiagnostic tests, or research applications that involve studying protein structure and function or mapping epitopes on the protein for designing vaccines and therapeutics. In this study, we have produced the nucleocapsid protein encoded by the original strain that emerged in Wuhan, China. The strategy employed in this paper can also be employed to express and purify nucleocapsid proteins from other SARS-CoV-2 variants or other viruses. The recombinant purified protein produced in this study is reasonably pure. However, it can be further purified using size-exclusion chromatography to eliminate remaining contaminants.
At present, this protein is being used to develop antigen and antibody detection-based diagnostic tests for SARS-CoV-2. The purified protein produced in this study is also available to interested researchers working on different aspects of SARS-CoV-2 or related viruses on request.
6. ACKNOWLEDGMENTS
The authors would like to thank Bennett University, India, for providing the institutional seed grant to VV and Ph.D. fellowship to AK, and the Department of Science and Technology –SERB for providing Start-up Research Grant (SRG/2022/000486) to VV. The authors would also like to thank Dr. Milan Surjit (Translational Health Science and Technology Institute, Faridabad, India) for providing DNA encoding SARS-CoV-2 nucleocapsid protein, Dr. Rajesh Kumar (Institute of Advanced Virology, Kerala, India) for providing anti-M13-HRP, Dr. Kalpana Luthra (AIIMS, Delhi) for providing the M13 phagemid vector, and Dr. Garima Khare (University of Delhi, India) for sharing the expression vector.
7. AUTHORS’ CONTRIBUTIONS
VV had conceptualized the idea, supervised the work, and prepared the draft manuscript. VV and AK performed the experiments and prepared the data and results. All authors have reviewed and edited the manuscript.
8. CONFLICTS OF INTEREST
All authors have read the Journal’s policy on authorship agreement and disclosure of potential conflicts of interest. They have none to declare.
9. ETHICAL APPROVALS
This study does not involve experiments on animal and human subjects.
10. DATA AVAILABILITY
The authors confirmed that all the relevant data are included in the article.
11. PUBLISHER’S NOTE
This journal remains neutral with regard to jurisdictional claims in published institutional affiliation.
REFERENCES
1. World Health Organization. Coronavirus (COVID-19) Dashboard. Geneva:World Health Organization. Available from:https://www.covid19.who.int [Last accessed on 2022 Dec 07].
2. World Health Organization. India:World Health Organization. Coronavirus Disease (COVID-19) Dashboard with Vaccination Data. Available from:https://www.covid19.who.int [Last accessed on 2022 Dec 07].
3. Lamers MM, Haagmans BL. SARS-CoV-2 pathogenesis. Nat Rev Microbiol 2022;20:270-84. [CrossRef]
4. Rastogi M, Pandey N, Shukla A, Singh SK. SARS coronavirus 2:From genome to infectome. Respir Res 2020;21:318. [CrossRef]
5. Lan J, Ge J, Yu J, Shan S, Zhou H, Fan S,
6. Lu S, Ye Q, Singh D, Cao Y, Diedrich JK, Yates JR,
7. Habli Z, Saleh S, Zaraket H, Khraiche ML. COVID-19
8. Liu D, Wu F, Cen Y, Ye L, Shi X, Huang Y,
9. Das D, Suresh MR. Copious production of SARS-CoV nucleocapsid protein employing codon optimized synthetic gene. J Virol Methods 2006;137:343-6. [CrossRef]
10. Hwang YC, Lu RM, Su SC, Chiang PY, Ko SH, Ke FY,
11. Burbelo PD, Riedo FX, Morishima C, Rawlings S, Smith D, Das S,
12. Hodge CD, Rosenberg DJ, Grob P, Wilamowski M, Joachimiak A, Hura GL,
13. Lu RM, Ko SH, Chen WY, Chang YL, Lin HT, Wu HC. Monoclonal antibodies against nucleocapsid protein of SARS-CoV-2 variants for detection of COVID-19. IJMS Int J Mol Sci 2021;22:12412. [CrossRef]
14. Terry JS, Anderson L, Scherman MS, McAlister CE, Perera R, Schountz T,
15. Xie C, Ding H, Ding J, Xue Y, Lu S, Lv H. Preparation of highly specific monoclonal antibodies against SARS-CoV-2 nucleocapsid protein and the preliminary development of antigen detection test strips. J Med Virol 2022;94:1633-40. [CrossRef]
16. Liu W, Liu L, Kou G, Zheng Y, Ding Y, Ni W,
17. Djukic T, Mladenovic M, Stanic-Vucinic D, Radosavljevic J, Smiljanic K, Sabljic L,
18. Cubuk J, Alston JJ, Incicco JJ, Singh S, Stuchell-Brereton MD, Ward MD,
19. Oliveira SC, de Magalhães MT, Homan EJ. Immunoinformatic analysis of SARS-CoV-2 nucleocapsid protein and identification of COVID-19 vaccine targets. Front Immunol 2020;11:587615. [CrossRef]
20. Haynes WA, Kamath K, Bozekowski J, Baum-Jones E, Campbell M, Casanovas-Massana A,
21. Studier FW. Protein production by auto-induction in high-density shaking cultures. Protein Expr Purif 2005;41:207-34. [CrossRef]
22. Li G, Li W, Fang X, Song X, Teng S, Ren Z,
23. De Vos J, Aguilar PP, Köppl C, Fischer A, Grünwald-Gruber C, Dürkop M,
24. Tarczewska A, Kolonko-Adamska M, Zar?bski M, Dobrucki J, O?yhar A, Greb-Markiewicz B. The method utilized to purify the SARS-CoV-2 N protein can affect its molecular properties. Int J Biol Macromol 2021;188:391-3. [CrossRef]
25. Supekar NT, Shajahan A, Gleinich AS, Rouhani DS, Heiss C, Chapla DG,
26. García-Cordero J, Mendoza-Ramírez J, Fernández-Benavides D, Roa-Velazquez D, Filisola-Villaseñor J, Martínez-Frías SP,
27. de Camargo BR, da Silva LA, de Oliveira AS, Ribeiro BM. An easy pipeline for one-step purification of SARS-CoV-2 nucleocapsid protein from insect cell suspension culture. J Virol Methods 2022;299:114341. [CrossRef]
28. Zhu B, Nosaka N, Kanamaru S, Dong J, Dai Y, Inoue A,


